Выражаю огромную благодарность Александру за его профессионализм и теплоту. Мой нос дважды оперирован, результатом я не была довольна, не нравился кончик носа. Хирурги кто меня оперировал отказались брать, типа и так все замечательно… взялся за меня только Александр! Операция прошла успешно, теперь я всем довольна, кончик носа такой как я и хотела, жалею, что сразу не пошла к этому прекрасному хирургу!
Выражаю огромную благодарность этому замечательному хирургу! 4 недели назад сделала у него пластику век, и подтянула лоб, через проколы. Результат просто обалденный! Помолодела и посвежела! Швов вообще не видно! Я очень переживала что будут видны швы, а нет! Теперь у меня открытый и красивый взгляд, я не выгляжу уставшей! Мне 39, а сейчас могу сказать все 30! Глаза очень выдают возраст, я не верила раньше, думала что кожа, дрябласть. Теперь точно могу сказать, что — НЕТ! Выдают возраст глаза! Ничего не поможет, если глаза выглядят усталыми, кожа нависает, провалы под глазами… У меня сейчас глаза как у 30 ей девушки! И брови аккуратно приподнялись, лоб стал ровненьким, как у девушке.
Не перестану восхищаться талантом Александра Юрьевича Жукова! Спасибо огромное за ваше мастерство и за теплый прием!
Все зависит от объема выполняемых работ, если весь нос переделывать, то это одни сроки, если только кончик носа, то намного меньше. В среднем от 2 недель и до 1 месяца. Отеки и синяки держутся у всех по — разному, опять же зависит от обьема работы, от состояния здоровья самой пациентки + какая кожа.
я по совету коллеги попала к нему на круговую блефаро. она тоже такую себе у него же делала, мне понравилось, как она выглядела после, молодая и ухоженная, взгляд очень ясный, отдохнувший прям, сказала что делала у Жукова эту операцию в Москве. Я вот тоже по ее стопам пошла. Буквально недавно сделала! Горжусь знакомством с Жуковым потому что он и правда лучший по блефаро. После синячков во время реабеллитации лицо изменилось лучше, глаза большие, красиво все выполнено, следов усталост нет даже если и правда устала)) это плюс
Признанный пластический хирург. Победитель многих премий в том числе как лучший специалист по блефаропластике. Александр Юрьевич гениальный пластик, очень порядочный и тактичный. Глаза после операции стали молодыми и лучистыми, чего даже в молодости не очень наблюдалось. Благодаря Жукову вернулись легкость и позитив. Шик, блеск, красота — вот такие сейчас эмоции!
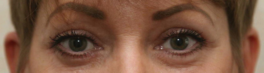
Здравствуйте. Я уже и забыла те ужасные дни когда я мучилась с огромными мешками под глазами, с возрастом они становились тяжелее и больше. Это очень сильно придавало мне лишние возраст из за которого я впадала в постоянные депрессии. Так продолжаться уже не могло и я занялась поисками хирурга, который бы мне подошел. Выбор остановился на Жукове Александе Юрьевиче. Хирург мне понравился своим подходом к работе, плюс ко всему я читала про него, что лучше Александра Юрьевича по векам просто нет! На консультации обратила внимание как хирург ясно объясняет все этапы операции, на мои вопросы отвечал как будто, знал что я буду спрашивать )) Хорошо располагает к себе, приятный вежливый человек. После операции по блефаропластике нижних век я понимала что мой выбор был верным и его репутации заслуженная. Глазки стали больше, молодой открытый взгляд, мешки которые мне
напрягали — исчезли!!! Я больше не думала как во сколько мне стать, что бы начать прихорашиваться. Половину своей косметики я просто не использую теперь! Это фантастика, я довольна тем, что выбрала именно Александра Юрьевича!
Здравствуйте. В клинике Медси я делала операцию по блефаропластику верхних и нижних век, долго я конечно готовилась к предстоящей мне операции. Оперировалась у Жукова Александра Юрьевича, очень аккуратный хирург всё настолько идеально сделал, что сегодня я молодая и счастливая женщина. Отдельное спасибо всему персоналу за вашу поддержку и заботу. Благодаря вам моя реабилитация после операции прошла раньше чем я предполагала. Сейчас у меня молодой и открытый взгляд, идеально подтянутая кожа без морщин и проклятых мешков. Глазки не напрягаются, чувствуется легкость. Огромная благодарность Жукову Александру Юрьевичу!
Больше года прошло как я побывала на пластики носа, сделал мне ринопластику Жукова Александр Юрьевич, у него большой опыт и правильный подход к своим пациентам. Именно по этому я обратилась к данному специалисту. На консультации хирург внимательно выслушал меня и рассказал о всех тонкостях данной операции. Очень приятный хирург легко объясняет и аккуратно выполняет свою работу. После операции я отходила от отёка, и носик принимал красивую форму. Мне изменили кончик носика и убрали горбинку. Не каких осложнений я не испытывала всё идеально, результат такой же превосходный как и после реабилитации!
Я попала к Александру Юрьевичу Жукову по рекомендации. Работы хирурга впечатлили меня, люди о хирурге только положительно отзываются, имеет за плечами солидный опыт,неоднократно признан лучшим хирургом по блефаропластике. Мою проблему с мешками и нависшем веками устранил без проблем. Операция по круговой блефаропластике заняла не более часа. По окончанию реабилитации, выгляжу как фото модель. Глазки стали крупнее и выразительнее, помолодела прилично лет пять скинула, легкость в глазах чувствуется.
Не каких проблем в реабилитационный период не возникло, всё прошло отлично
Оказалось, что лучше Александра Юрьевича Жукова никого нет! Была у других хирургов на консультациях, многие пытались присвоить мне проблемы, которых не было. А у меня всего лишь проблема со средней зоной лица была. Жуков посоветовал специальную подтяжку СМАС, которая помогла мне как бы из глубины структуры лица возобновить естественный природный каркас. Это улучшило черты, сделало их более отчетливыми и утонченными. Великолепная работа, и я уже хорошо чувствую себя. Операция помогла мне вернуть тот овал лица, который я утратила лет десять назад. Жуков говорит, что результат долговечный и сохранится на продолжительный срок. Надеюсь на это, ведь я в свои 55 выгляжу на 40. И в этом заслуга метода и современного подхода Александра Юрьевича. А выбрала я его благодаря отзывам, его инстаграму и фотографиям с результатами. Хочу отдельно отметить его приятный и заботливый характер. Это тоже важный фактор для любого доктора. Все методы современные, в Европе тоже такие применяются, я изучала вопрос.
Мне была проведена круговая блефаропластика около 3х месяцев назад, делала я ее у хирурга Жукова Александра Юрьевича, обратилась к нему по совету подруги.
Радует тот факт, что результат от операции теперь сохранится на долгие годы, эффект очень продолжительный и заменяет кучу салонных процедур. Сама операция прошла хорошо, была под общим наркозом, поэтому первый день прошел как во сне. Швы сняли на 3-е сутки, реабилитация заняла по времени недели 2, за это время полностью сошли отеки и синяки, а следы от разреза еще немного видны, но я их пока корректором ретуширую.
В остальном всем довольна! Александр Юрьевич настоящий профессионал, у таких врачей оперироваться не страшно, достойный хирург!